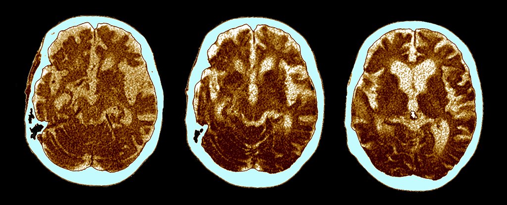
HomeMarkets Markets The Hidden Cause of Alzheimer’s May Have Been Identified a Century Ago By news April 1, 2024 0 196 FacebookTwitterPinterestWhatsApp Alzheimer’s disease is commonly associated with clumps and tangles of proteins building up in brain cells. Yet for more than a century, accumulations …This post was originally published on this site Share FacebookTwitterPinterestWhatsApp Subscribe Login Notify of new follow-up comments new replies to my comments Please login to comment 0 Comments Inline Feedbacks View all comments Stay Connected149,452FansLike396,312FollowersFollow2,650SubscribersSubscribe Latest Articles Energy What is the Strait of Hormuz, and why does its closure matter so much to the global economy? Hot Items A Plan B for space? On the risks of concentrating national space power in private hands Energy Iran’s targeting of airport, ports and hotels in reaction to US strikes has forced Gulf nations onto front lines of a war – Hot Items Donald Trump has made some bold claims on the US economy. But how do they stack up against the data? Energy ‘Destruction is not the same as political success’: US bombing of Iran shows little evidence of endgame strategy Markets Toppling Tuesday – Regimes and Markets Edition Biotech RFK Jr. Lied His Way Into Office and American Health Is the Victim Markets Putin Is the Iran War’s One Sure Winner Markets Trump Makes Surreal Turn From Talking War to Mocking Melania AI The SaaSpocalypse Has Arrived…Or Has It? Markets Trump’s lethal presidency Markets Monday Market Mayhem – World War Trump and Portfolio Hedges Market News Deeply conflicted, Kushner represents the U.S. in high-stakes negotiations with Iran Markets Claude dethrones ChatGPT as top U.S. app after Pentagon saga Load more